小溃疡,大危害;命悬一线,妙手回春
稿件来源:深圳市第三人民医院 发布时间:2019-08-13 00:00:00第二天一早,科里同事都在讨论“再晚半小时进手术室就没救了”、“溃疡如盾牌,手术针都能扎弯”,“肠道也产血豆腐”……
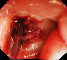
事情要从2019年08月06日中午说起,医生们刚吃过午饭,狂风大作,雷雨交加,医疗二线朱质斌医师接到急诊科电话,说有一个“呕血、失血性休克”的病人需转入病房,肝病四科医护人员立即待命,做好各项准备……患者陈**,34岁男性,当天9:30在公司上班时感上腹部不适,呕吐鲜红色血液约600ml,伴头晕,大汗淋漓,四肢厥冷,突发晕厥,立即由120送入深圳市第三人民医院急诊科, 2017年也曾因“呕血”在外院治疗,当时诊断考虑“十二指肠球部溃疡出血”,患者在转运过程中及急诊科内分别呕吐鲜血400ml、300ml,测血压84/58mmHg,转入病房后给予双倍止血、抑酸护胃药物治疗,开通多条静脉通道加强补液,血压92/60mmHg,再次呕鲜血200ml,查血红蛋白100g/L,肝病四科陈军主任决定立即请内镜中心、介入科会诊,经商议后,转入胃镜室行急诊胃镜下止血治疗,张卓主任亲自挂帅,带领团队积极救治病人,镜下可见十二指肠球部一深大溃疡,由于溃疡表面质地异常坚硬,止血夹无法夹闭溃疡,予以注射组织胶共3个位点,反复观察未见活动性出血,撤镜,

返回病房,查血红蛋白70g/L,持续输红细胞,测生命体征平稳,当大家刚把悬着的心放下来,觉得可以松口气的时候,患者又反复呕血约400ml,此时已接近20:00,陈军主任一直留守病房指导工作,要知道当时科里同时收治了四名毒蕈中毒患者,但很多医护人员自愿加班,科里忙而不乱,井然有序,陈主任当机立断,说“这个病人不能等,必须马上手术”,他立即与外科李志伟主任取得联系,在院外开会的李主任二话不说,先派赵新副主任、张昆医师到科里评估患者病情、交代注意事项、完善术前准备,随后自己火速赶往医院,面对这种危、急、重患者,李主任团队没有退缩,毫不犹豫,冒着巨大风险,顶着各种压力,决定为患者马上实施急诊手术。

患者于21:30送入手术室,拟行全麻下剖腹探查术,结果一进手术室就开启了抢救模式,血压最低降至60/30mmHg,心率从100次/分降至60次/分以下,血红蛋白机器测不到,直至输注O型8U红细胞,才测得血红蛋白65g/L,事实上当晚一肝移植手术患者也需要O型血,输血科杨燕主任积极备血,保证稀缺的O型血血液供应,经补液、扩容、升压处理后,生命体征趋于平稳,22:45开始手术,术中探及十二指肠球部溃疡如盾牌般坚硬,手术针在它面前都“折了腰”,且与周围组织粘连紧密,不易分离,电刀辅助打开胃前壁下1/3,十二指肠球部惊现“红色小喷泉”,予以缝扎止血,并解剖结扎离断胃右动脉及胃十二指肠动脉血管,行十二指肠旷置、胃大部切除术,术中从肠道内吸出约1500ml肠型血凝块。


持续数小时紧张手术后,于次日凌晨转入ICU,李金秀主任团队密切监测,积极治疗,促进术后恢复,患者已于8日11:30转入普通病房,生命体征平稳,血红蛋白升至94g/L,目前身体恢复中。

后记:患者呕血量接近2000ml,加上肠道内残留的血栋出血量难以估算,由于急诊科迅速转运,肝病四科积极接诊、判断及时,内镜中心全力以赴,肝胆外科技术精湛,输血科、麻醉科及ICU等科室的全力配合,才把这位年仅34岁的父亲,家里的顶梁柱从“鬼门关”拉了回来,心里绷紧的弦稍稍松了些,但还是要提醒大家,不要因为只是溃疡就不重视,溃面侵及血管,特别是动脉,可能因失血性休克夺走生命,不是每个患者都有陈先生这么幸运……
深圳市第三人民医院(南方科技大学第二附属医院)是一家综合性三级甲等医院,是广东省高水平医院,入选“登峰计划”重点建设的深圳四家医院之一,医院广纳贤才,引进院士团队,完善硬件设施,提升服务水平,力求让患者获得最佳的就诊体验。
附件:

粤公网安备 44030702003859号